딥러닝 등 기술 활용해 관상동맥 3차원 형상화

에이아이메딕(대표 심은보)은 자사 의료기기 '오토세그에이치(AutoSeg-H)'가 과학기술정보통신부(이하 과기정통부)의 우수 연구개발(R&D) 혁신 제품으로 선정됐다고 26일 밝혔다.
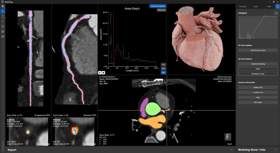
오토세그에이치는 딥러닝 등의 기술을 활용해 심장 CT 영상에 나온 관상동맥을 3차원(3D)으로 형상화하는 의료기기 소프트웨어다. 현재 관상동맥질환을 판단하기 위해 심장 CT 영상이 활용되고 있지만, 심장은 상시 움직임이 있어 이미지 영역 추출이 어렵고 기존에는 수작업으로 심혈관 영상을 3D로 구현했기 때문에 최대 10시간가량이 소요됐다.
오토세그에이치는 관상동맥의 △협착 정도 △혈관 단면 △심방 △심실 등을 10분 이내로 자동 분석해 소모 인력 절감과 작업자의 편차에 따라 결과가 달라지는 문제를 해결할 수 있다는 게 회사 측 설명이다. 심은보 에이아이메딕 대표는 "식품의약품안전처와 미국 식품의약국(FDA) 인증을 받은 오토세그에이치가 이번에 우수 연구개발 혁신 제품으로 선정됐다"며 "회사의 '하트메디플러스(HeartMedi+)'도 지난해 혁신 의료기술로 지정돼 올해부터 의료현장에 사용할 수 있는 만큼 우리 회사 소프트웨어의 기술력과 신뢰를 바탕으로 의료현장에 빠르게 진입하겠다"고 말했다.
한편, 우수 연구개발 혁신 제품 지정제도는 공공 조달과 연구개발 정책을 융합해 민간 기술 혁신을 촉진하기 위해 과기정통부가 마련한 제도다. 우수 연구개발 혁신 제품으로 선정될 경우 3년간 △공공 조달 수의 계약 △조달청 시범 구매 △수출 등 다양한 지원을 받게 된다.
