세계 9번째, 코로나19 환자 최장기간 에크로 장착 기록도
병원 측 "환자 상태 호전, 현재 자발호흡 가능한 상황"
한림대학교성심병원은 "지난 6월 21일 코로나19 중증환자의 폐이식을 국내 최초로 성공시켰다"고 2일 밝혔다. 세계에서는 9번째다.
환자는 50대 여성으로 지난 2월 29일 한림대학교성심병원에 코로나19 중증환자로 긴급 후송돼 읍압격리실에 입원했다.
병원 측에 따르면 환자는 초기 치료로 항말라리아약인 클로로퀸(chloroquine)과 에이즈 환자에서 사용하는 칼레트라(Kaletra)를 사용했고, 항염증작용을 위해 스테로이드도 사용했지만 효과를 보지 못했고, 이어 에크모장치를 비롯한 선제적 치료로 3월 이후 상태가 호전됐다.
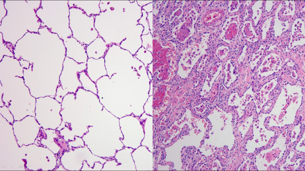
그렇지만 환자는 바이러스만 사라졌을 뿐 폐 상태가 나빠졌다. 흉부X-ray 검사 결과에서는 심한 특이사항이 발견되지 않았지만, 흉부CT 검사 결과 양측 폐에 광범위한 침윤소견과 폐섬유화 속도가 상당히 빨랐다.
폐 기능이 너무 심하게 손상돼 에크모를 떼는 순간 환자는 사망 위험이 높았다. 선택은 폐이식 밖에 없었고 의료진은 폐이식을 결정했다.
이후 환자는 입원 다음 날인 3월 1일부터 이식하기 전날인 6월 20일까지 무려 112일 동안 에크모 치료를 시행했다. 112일은 코로나19환자 중 에크모 장착 세계 최장기간 기록이다.
에크모 치료는 의료진이 실시간으로 환자를 추적, 관찰해 건강상태를 잘 유지시켜야 하기때문에 장시간 에크모 장착은 쉬운 일이 아니라는 것이 병원 측 설명이다.

20실 15시에 시작된 수술은 21일 02시까지 진행됐고 성공했다, 의료진은 수술 성공 근거에 대해 "선제적으로 시행한 에크모 치료뿐 아니라 의료진이 장기간 에크모 장착으로 인한 감염, 출혈, 혈전증 등 여러 합병증을 잘 막고 환자의 식이요법과 체력저하 등을 관리하기 위해 24시간 집중치료를 시행했기 때문이다"고 분석했다.
현재 환자는 자발호흡이 가능한 상태까지 회복됐다.
에크모센터장 흉부외과 김형수 교수는 "코로나19 환자 중 국내에서 최고의 중증치료 사례였으며 코로나바이러스에 감염된 폐를 떼어낼 때 건강한 폐와 다르게 크기도 작게 수축 됐고 마치 돌덩이처럼 폐가 딱딱한 느낌이었다"며 "건강하고 젊은 코로나19 감염증 환자도 폐섬유화 진행 속도가 빨라 폐이식까지 갈 수 있으니 젊다고 방심하지 말고 감염을 막기 위한 사회적 거리두기, 마스크 착용 등의 노력을 지속해야 한다"고 강조했다.
