위암 대상 국내 첫 영상 검출·진단 보조 소프트웨어
딥러닝 기반 위 내시경 영상 실시간 분석…의료진 진단 결정 보조

의료 인공지능(AI) 전문기업 웨이센(대표 김경남)의 위암 영상 검출·진단 보조 소프트웨어(SW) 'WAYMED endo ST CS'는 19일 식품의약품안전처로부터 제37호 혁신 의료기기로 지정됐다.
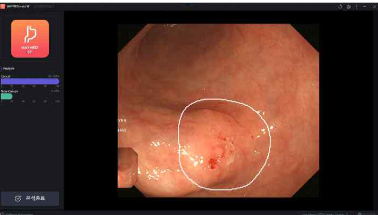
식약처에 따르면 해당 제품은 위암을 적응증으로 하는 국내 첫 영상 검출·진단 보조 소프트웨어다. AI 딥러닝 기술인 합성곱신경망(Convolutional Neural Network·CAF) 모델을 기반으로 위내시경 영상을 실시간으로 분석한다. 위암 의심 영역 위치를 자동으로 검출해 의료진의 진단 결정을 보조하는 것이 주 목적이다. 별도 네트워크 연결 없이 사용이 가능하고, 기존 내시경 장비와 100% 호환 가능하다는 것이 장점이다.
식약처 관계자는 "현재까지 총 37개 제품을 혁신 의료기기로 지정했다"며 "향후 신속한 제품화 지원을 위해 우선 심사 등의 밀착 지원을 제공하겠다"고 밝혔다.
관련기사
박성수 기자
spark@hitnews.co.kr
현실을 담는 기자의 펜 끝에 낭만까지도 담겠습니다. 낭만필객을 꿈꾸는 히트뉴스의 기자 박성수입니다.
